پنومونی چه علائمی دارد و چگونه تشخیص داده می‌شود؟

علائم پنومونی چیست و چگونه میتوان آن را تشخیص داد؟
تیم تولید محتوای ایران نوبت
1404/07/01

علائم و نشانه های پنومونی

علائم و نشانه های پنومونی
پنومونی یا ذات‌الریه یک بیماری عفونی است که به ریه‌ها حمله می‌کند و می‌تواند موجب التهاب در آلوئول‌های ریه (حبابچه‌های ریه) شود. این بیماری می‌تواند توسط باکتری‌ها، ویروس‌ها یا قارچ‌ها ایجاد شود و علائم و نشانه‌های مختلفی دارد که در زیر شرح داده شده است:

تب و لرز

یکی از شایع‌ترین علائم این بیماری تب بالا است. بیمار ممکن است با تب شدید و لرز همراه باشد که نشان‌دهنده التهاب در ریه‌ها است. این تب ممکن است ناگهانی شروع شود و اغلب مقاوم به داروهای مسکن باشد.

سرفه

سرفه یکی دیگر از علائم رایج ذات‌الریه است. در برخی موارد سرفه خشک است و در برخی دیگر ممکن است همراه با خلط رنگی (سبز، زرد یا خونی) باشد. این سرفه می‌تواند شدید و طولانی‌مدت باشد.

تنگی نفس و سختی در تنفس

بیماران مبتلا به ذات‌الریه اغلب دچار تنگی نفس یا سختی در تنفس می‌شوند. این حالت ممکن است هنگام فعالیت بدنی یا حتی در حالت استراحت نیز رخ دهد. این مشکل به دلیل تجمع مایعات در ریه‌ها و کاهش توانایی آن‌ها در تبادل اکسیژن ایجاد می‌شود.

درد قفسه سینه

درد یا فشار در قفسه سینه یکی دیگر از نشانه‌های ذات‌الریه است. این درد معمولاً زمانی شدیدتر می‌شود که بیمار سرفه می‌کند یا نفس عمیق می‌کشد. در صورتی که التهاب در نواحی خاصی از ریه ایجاد شود این درد ممکن است متمرکز باشد.

خستگی و ضعف عمومی

بیماران مبتلا به ذات‌الریه اغلب احساس خستگی و ضعف شدید دارند. این علائم ممکن است حتی پس از درمان اولیه نیز ادامه پیدا کنند و از نظر جسمی فرد را ناتوان سازند.

رنگ پریدگی و تغییر رنگ لب‌ها و ناخن‌ها (سیانوز)

در موارد شدیدتر ذات‌الریه سطح اکسیژن خون پایین می‌آید و بیمار ممکن است رنگ پریدگی یا تغییر رنگ در لب‌ها و ناخن‌ها (سیانوز) را تجربه کند. این حالت نشان‌دهنده کمبود اکسیژن در بدن است.

سرگیجه و سردرگمی

در برخی موارد به‌ویژه در سالمندان یا افرادی که سیستم ایمنی ضعیف‌تری دارند ذات‌الریه می‌تواند منجر به گیجی یا سردرگمی شود. این مشکل معمولاً ناشی از کاهش سطح اکسیژن یا تب شدید است.

تعریق شبانه

تعریق شبانه یکی دیگر از علائم پنومونی است که ممکن است بیمار در طول شب با آن روبه‌رو شود. این حالت ممکن است با تب همراه باشد و برای بیمار ناراحتی ایجاد کند.

علائم اضافی در گروه‌های خاص

در کودکان سالمندان و افرادی که دچار بیماری‌های مزمن هستند علائم پنومونی ممکن است متفاوت باشد. برای مثال در کودکان ممکن است تنها نشانه‌ها شامل سرفه و تب خفیف باشد. در سالمندان نیز ممکن است علائم به‌طور کامل پنهان بمانند یا با سردرگمی همراه شوند.

روش های تشخیص پنومونی

روش های تشخیص پنومونی
تشخیص این عارضه شامل مجموعه‌ای از روش‌های مختلف است که پزشکان برای شناسایی این بیماری استفاده می‌کنند. برخی از روش‌های اصلی تشخیص این بیماری به شرح زیر است:
معاینه بالینی: پزشک با بررسی سوابق پزشکی و انجام معاینه فیزیکی علائم پنومونی مانند سرفه، تب، درد قفسه سینه، تنگی نفس و رنگ پریدگی را شناسایی می‌کند. همچنین با استتوسکوپ به صدای ریه‌ها گوش می‌دهد تا صداهای غیرطبیعی مانند "کراکینگ" را تشخیص دهد.
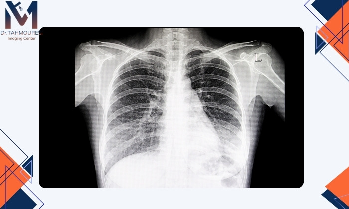
رادیوگرافی قفسه سینه (X-ray): رادیوگرافی قفسه سینه یکی از رایج‌ترین و مؤثرترین روش‌های تشخیص ذات‌الریه است. در این تست تصاویری از ریه‌ها گرفته می‌شود که پزشک می‌تواند علائم التهاب یا تجمع مایعات در ریه‌ها را شناسایی کند. این تست می‌تواند به تعیین محل دقیق عفونت کمک کرده و تفاوت‌های بین ذات‌الریه و دیگر بیماری‌های تنفسی را نشان دهد. اگر قصد انجام رادیولوژی در فردیس کرج را دارید می‌توانید به مرکز تصویربرداری دکتر موسی طهمورسی مراجعه کنید.
آزمایش خون: این آزمایش برای بررسی علائم عفونت در بدن و میزان گلبول‌های سفید خون انجام می‌شود. افزایش تعداد گلبول‌های سفید نشانه عفونت است و آزمایش خون می‌تواند التهاب و وجود باکتری یا ویروس را شناسایی کند.
آزمایش خلط: در صورت سرفه و تولید خلط پزشک نمونه‌ای از خلط را برای آزمایش می‌خواهد. این آزمایش به شناسایی نوع عامل عفونی (باکتری، ویروس یا قارچ) کمک کرده و بهترین درمان را مشخص می‌کند.
سی‌تی‌اسکن (CT scan): برای ذات‌الریه ‌های پیچیده یا شدید سی‌تی‌اسکن تجویز می‌شود تا مناطق آسیب‌دیده ریه شناسایی شده و عوارض احتمالی مانند آبسه یا پارگی ریه بررسی شوند.
آزمایش‌های سریع: برای شناسایی سریع نوع خاص پنومونی (مثل ویروسی یا باکتریایی) آزمایش‌های سریع انجام می‌شود که می‌تواند ویروس‌ها یا باکتری‌ها را تشخیص دهد.
آزمایش‌های سرم آنتی‌ژن: این آزمایش برای تشخیص ذات‌الریه باکتریایی (مثل استرپتوکوکوس پنومونیه) استفاده می‌شود و به شناسایی آنتی‌ژن‌های خاص در خون کمک می‌کند.
پالس اکسی‌متر (Pulse Oximeter): میزان اکسیژن خون اندازه‌گیری می‌شود تا پزشک شدت بیماری و نیاز به مراقبت‌های ویژه را ارزیابی کند.
تشخیص زودهنگام این بیماری بسیار اهمیت دارد زیرا درمان به موقع می‌تواند از بروز عوارض شدید جلوگیری کرده و بهبودی سریع‌تر را فراهم کند.

روش های درمان ذات‌الریه

روش های درمان ذات‌الریه
درمان این بیماری بسته به نوع عامل عفونت (باکتریایی، ویروسی یا قارچی) و شدت بیماری متفاوت است. در اینجا روش‌های رایج درمانی آورده شده است:

آنتی‌بیوتیک‌ها (برای ذات‌الریه باکتریایی)

اگر ذات‌الریه ناشی از باکتری‌ها باشد پزشک معمولاً آنتی‌بیوتیک تجویز می‌کند. این داروها به کشتن باکتری‌ها و کاهش التهاب کمک می‌کنند. در موارد شدیدتر ممکن است آنتی‌بیوتیک‌ها به‌صورت تزریقی تجویز شوند.

داروهای ضدویروس (برای ذات‌الریه ویروسی)

ذات‌الریه ویروسی معمولاً با داروهای ضدویروس درمان می‌شود. این داروها مانند داروهای ضدآنفلوآنزا یا کرونا می‌توانند ویروس‌های عامل بیماری را کنترل کرده و از گسترش آن جلوگیری کنند.

داروهای ضدقارچ (برای ذات‌الریه قارچی)

اگر ذات‌الریه ناشی از قارچ‌ها باشد درمان با داروهای ضدقارچ انجام می‌شود. این داروها به‌طور مؤثر قارچ‌ها را از بین می‌برند و به بیمار در روند بهبودی کمک می‌کنند.

آرام‌بخش‌ها و داروهای ضدتب

برای تسکین درد قفسه سینه و کاهش تب پزشک ممکن است داروهایی مانند ایبوپروفن یا استامینوفن تجویز کند. این داروها علائم پنومونی کاهش داده و راحتی بیمار را فراهم می‌آورند.

درناژ مایع پلور

در برخی موارد پنومونی مایع اضافی ممکن است در فضای پلور (فضای بین ریه‌ها و دیواره قفسه سینه) تجمع یابد. این وضعیت به‌عنوان پلورال افیوژن شناخته می‌شود. در چنین مواردی برای تخلیه مایع تجمعی، ممکن است نیاز به انجام درناژ مایع پلور باشد. این عمل می‌تواند به‌وسیله سوزن یا لوله‌ای که به فضای پلور وارد می‌شود انجام گیرد. درناژ مایع پلور به کاهش فشار در ریه‌ها کمک کرده و تنفس را آسان‌تر می‌کند.

اکسیژن درمانی

در موارد شدید سطح اکسیژن خون کاهش می‌یابد و پزشک ممکن است از اکسیژن درمانی برای افزایش سطح اکسیژن در بدن بیمار استفاده کند.

مراقبت‌های حمایتی

در موارد خفیف بیمار می‌تواند درمان حمایتی را انجام دهد. این درمان شامل استراحت، مصرف مایعات و داروهای مسکن است. این روش به بدن کمک می‌کند تا به‌طور طبیعی با عفونت مبارزه کند.

مراقبت در بیمارستان

در موارد شدید یا پیچیده بیمار ممکن است نیاز به بستری در بیمارستان و درمان‌های تخصصی مانند آنتی‌بیوتیک‌های داخل وریدی و تهویه مکانیکی داشته باشد.
درمان زودهنگام و مناسب ذات‌الریه به پیشگیری از عوارض جدی کمک می‌کند و روند بهبودی را تسریع می‌بخشد.
روش های درمان ذات‌الریه

کلام آخر

در این مقاله به بررسی علائم، روش‌های تشخیص و درمان پنومونی پرداختیم. علائم این بیماری شامل تب، سرفه، تنگی نفس، درد قفسه سینه و خستگی است که می‌تواند با توجه به نوع عامل عفونت متفاوت باشد. تشخیص این بیماری از طریق معاینه بالینی، رادیوگرافی قفسه سینه، آزمایش خون، آزمایش خلط و در برخی موارد سی‌تی‌اسکن و آزمایش‌های سریع انجام می‌شود. درمان این بیماری بسته به نوع عفونت شامل استفاده از آنتی‌بیوتیک‌ها، داروهای ضدویروس یا ضدقارچ است. در موارد پیچیده‌تر ممکن است نیاز به درناژ مایع پلور یا درمان‌های ویژه مانند اکسیژن درمانی باشد. مراقبت‌های حمایتی، استراحت و مصرف مایعات نیز در درمان ذات‌الریه تأثیرگذار است. تشخیص و درمان زودهنگام می‌تواند از بروز عوارض جدی جلوگیری کرده و روند بهبودی را تسریع کند.
در نهایت تشخیص و درمان سریع پنومونی از اهمیت ویژه‌ای برخوردار است تا از بروز عوارض جدی جلوگیری شود. در مرکز تصویربرداری دکتر موسی طهمورسی، با استفاده از تجهیزات پیشرفته و تیم متخصص علاوه بر تشخیص دقیق ذات‌الریه خدمات درمانی از جمله درناژ مایع پلور نیز به بیماران ارائه می‌شود. این روش برای تخلیه مایع اضافی در فضای پلور به‌ویژه در موارد شدید ذات‌الریه کمک می‌کند تا بیمار راحت‌تر نفس بکشد و روند بهبودی تسریع یابد. لذا اگر قصد رزرو نوبت را دارید می‌توانید از طریق دکمه دریافت نوبت یا شماره تماس 09003651880 اقدام نمایید.


منابع
clevelandclinic.org
mayoclinic.org

بله حتی پس از درمان فرد ممکن است دوباره به آن مبتلا شود. بهترین روش پیشگیری شامل واکسیناسیون و رعایت بهداشت فردی است.

بستری شدن بستگی به شدت بیماری دارد. در صورت ابتلا به ذات‌الریه شدید نیاز به بستری شدن در بیمارستان و مراقبت‌های ویژه ممکن است.

بله کودکان به‌ویژه نوزادان و کودکان زیر پنج سال در معرض خطر ابتلا به این بیماری هستند.

لیست نظرات

امید روحانی

مقاله بسیار جامع و مفیدی بود. امیدوارم این اطلاعات بیشتر در دسترس عموم قرار بگیرد تا مردم بیشتر از این بیماری آگاه شوند.

آیدا حیدری

اطلاعات دقیقی درباره درمان ذات‌الریه و نکات کاربردی در تشخیص آن در مقاله بود. از تیم نویسنده ممنونم.

کامبیز طاهری

از خواندن این مقاله لذت بردم. موارد جدیدی در مورد درناژ مایع پلور یاد گرفتم که برای من جالب بود


دکتر موسی طهمورسی - بهترین مرکز رادیولوژی و سونوگرافی در کرج