تشخیص فیبروم رحم با سونوگرافی

حال بیایید کمی دقیقتر بررسی کنیم:
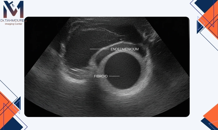
نقش اولتراسوند در تشخیص فیبروم رحم
اولتراسوند بهویژه نوع ترانس واژینال قادر است اندازه، محل و تعداد فیبرومها را با دقت بالا نشان دهد.در حدود ۸۰ تا ۹۰ درصد موارد میتواند فیبرومهای متوسط و بزرگ را بهدرستی شناسایی کند.
محدودیتهای سونوگرافی
با وجود دقت بالا اولتراسوند در برخی شرایط محدودیت دارد:فیبرومهای بسیار کوچک یا زیرمخاطی ممکن است دیده نشوند.
در رحمهای بزرگ یا در زنان دارای اضافهوزن وضوح تصویر کاهش مییابد.
تمایز فیبروم با سایر ضایعات (مثل پولیپ یا آدنومیوز) همیشه واضح نیست.
روشهای تکمیلی در صورت نیاز
اگر پزشک به نتایج سونوگرافی اطمینان کامل نداشته باشد معمولاً از روشهای دقیقتر استفاده میکند مانند:MRI رحم: تشخیص دقیق نوع و محل فیبرومها؛ مناسب برای برنامهریزی درمان.
هیستروسونوگرافی: تزریق مایع در رحم برای وضوح بهتر دیوارهها.
هیستروسکوپی: مشاهده مستقیم داخل رحم با دوربین.
در مجموع سونوگرافی برای تشخیص اولیه فیبروم رحم کاملاً مؤثر است اما در موارد خاص کافی نیست. اگر نتایج اولتراسوند مبهم باشد یا فیبرومها کوچک و زیرمخاطی باشند بررسیهای دقیقتر مانند MRI یا هیستروسونوگرافی توصیه میشود. چنانچه قصد انجام سونوگرافی در فردیس کرج را دارید میتوانید به مرکز تصویربرداری دکتر موسی طهمورسی مراجعه کنید و از خدمات حرفهای این مرکز بهرهمند شوید.






